Exploring the Best Options for Replacing Missing Teeth
Missing teeth can be more than just a cosmetic concern; they can significantly affect your oral health, self-esteem, and overall quality of life. As many
Complimentary Teeth Whitening Pen with your next routine dental visit. Limited time offer!
When it comes to cosmetic dentistry, Manhattan based SmileArts of NY is highly-respected. This kind of dental service is becoming more and more popular these days, and a beautiful, healthy smile is highly desirable. Not only is it esthetically appealing, it also serves to make us feel more confident in our everyday lives.
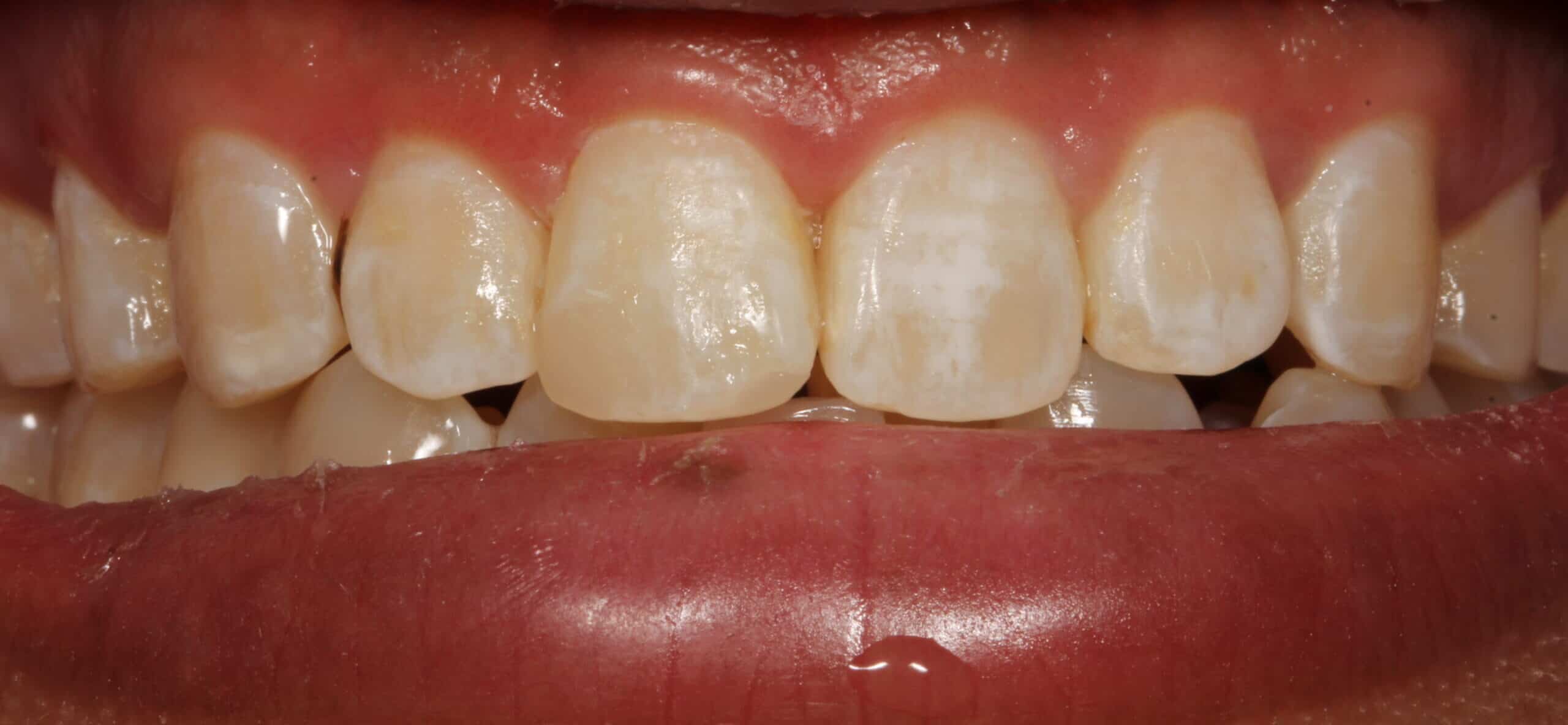
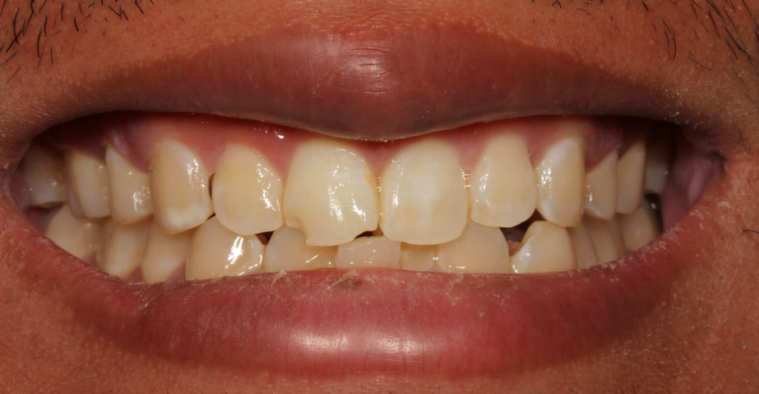
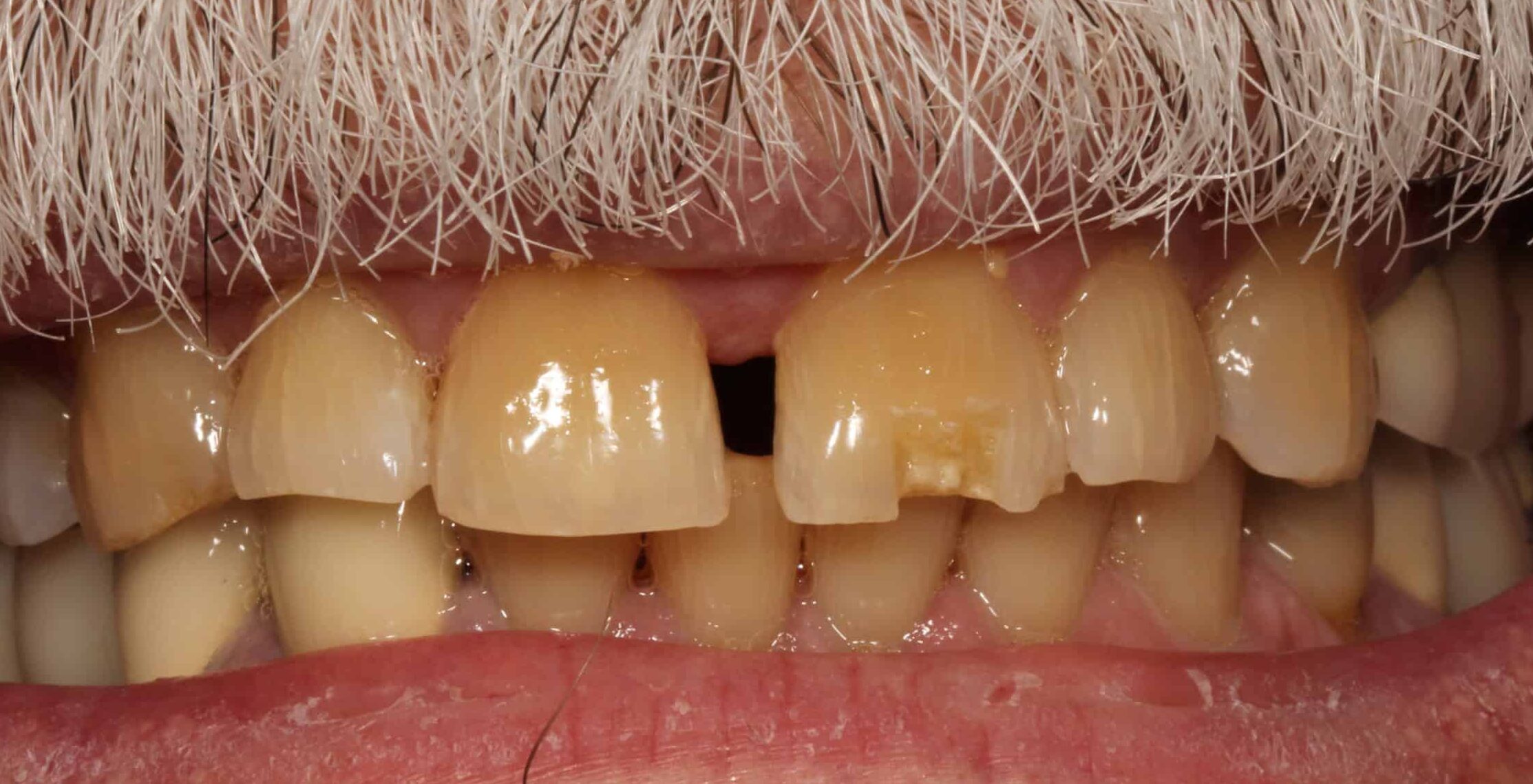
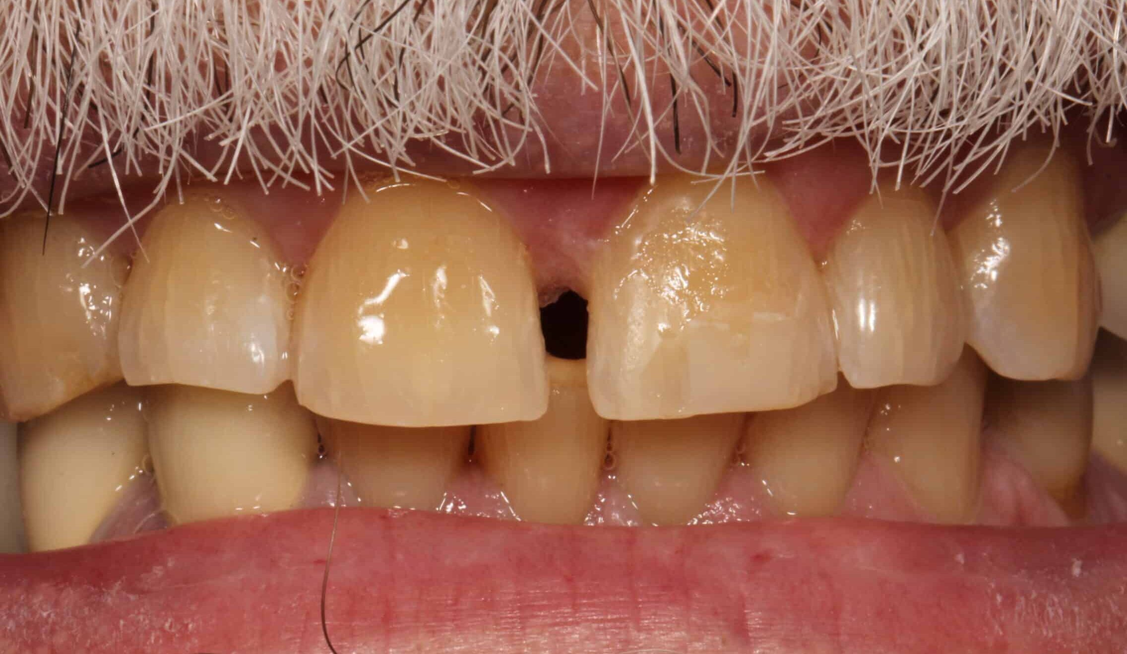
A common dental emergency is a chipped front tooth. Teeth can crack, chip, or break for many reasons. Some of the common causes are due to tooth trauma such as bruxism (teeth grinding,) biting on something hard, or trauma such as a hit or a fall.
Dental bonding can work very well in some cases to repair a broken, cracked or chipped tooth. Bonding is a pain-free procedure that involves using a composite resin, matched to the color of the original tooth, to repair a crack or chip – and even improve the shape. The surface is prepared (by roughening it) and then the resin is applied. Once cured under a special light, the tooth is polished.
In total, the procedure should only take between 30 and 60 minutes. Bonding is completely reversible, unlike the application of veneers or crowns.
When dental bonding does not work, or the patient is not a suitable candidate, a porcelain veneer or a crown is a more permanent solution for fixing a broken tooth.
The patient fractured his front tooth while eating by biting down hard on a fork. He also grinds his teeth at night which had made the enamel weaker and more susceptible to damage. We bonded the tooth with a resin composite and the cosmetic results were very good. The patient was advised he will have to be careful while eating in the future, so as not to bite on his front tooth.
Our patient broke his front tooth because he grinds his teeth at night. (Unfortunately he was not using his Night Guard regularly.) We repaired it by dental bonding with good results, but he’ll have to be careful not to bite on anything too hard, and use his night guard regularly for the dental bonding to last.
However, it’s not only those looking to enhance their smile through procedures like, for example, whitening or veneers, who require cosmetic treatment. The other group of people are those who, for emergency reasons, need to undertake a procedure after an accident, incident or crisis of some kind. This includes loss or damage to front teeth through impact or sustained trauma.
Manhattan dentists are regularly asked to provide cosmetic services, which can cover a wide range of procedures aimed at improving and enhancing the appearance of teeth and the general esthetics of a smile. Some of the aspects covered include shape, alignment, size, color, and position of the teeth, with the most common and straightforward procedures being straightening or whitening.
The field also deals with more complex issues around the gums and the ‘bite’, and encompasses the replacement or repair of a tooth (or multiple teeth), in order to maintain functionality – including speech and being able to chew properly.
The technology of dentistry is advancing at a rapid rate, and there are a great many new procedures that mean patients have options at their disposal that weren’t there even a few short years ago. Crooked, discoloured and mis-shapen teeth can all be corrected to create that perfect smile, and missing, chipped or broken teeth can be repaired or replaced – particularly in an emergency situation.
Today, some of the main procedures requested by patients are:
A dental crisis can happen unexpectedly at any time and for a variety of reasons, but one of the most important aspects of our service at Smile Arts of NY, is that we’re highly experienced in dealing with emergencies. It really makes a difference to know you can rely on us to keep calm and carry on, at what is quite often a very stressful time for you. In an emergency, when it comes down to cosmetic dentistry, Manhattan residents can rest easy that we’ve got you covered, anytime.
Missing teeth can be more than just a cosmetic concern; they can significantly affect your oral health, self-esteem, and overall quality of life. As many
Bad breath, or halitosis, is a common issue that affects people of all ages. While it can be embarrassing, understanding the root causes can help
One of the most promising applications of AI technology is in the field of dentistry, particularly in the analysis of dental X-rays.
Our teeth are one of the most important assets we have. The old adage, “you’ll miss them when they’re gone,” is never more true than
Oral care encompasses so much more than just your teeth; it is also centered on ensuring the health and longevity of your gums. It is
If you have particularly sensitive teeth, you may find yourself avoiding dental cleanings for fear of discomfort or pain. A feeling of sharpness or like your teeth might fall out are the types of pain typically felt by sufferers of tooth sensitivity.
Having completed NYU School of Dentistry and a General Residency program in Kings County hospital. Dr. Peter Mann has trained with some of the top world renowned dentists. Being recognized in 2009 with a fellowship award from the (ICOI) International Congress of Oral Implantology and in 2012 with a fellowship award from the (AGD) Academy of General Dentistry.
In 2009 Dr. Peter Mann decided it was time to achieve his vision by opening his dental office to provide outstanding dental services to NYC residents. Smile Arts of NY is located in the heart of Manhattan on E. 40th between Madison and Park ave.
Originally born in Ukraine, when iron curtain of communism collapsed his family took the opportunity to pursue the American dream by moving to New York. Dr. Peter Mann has lived in New York ever since, for over 33 years. His goal is to provide excellent dental experience for his fellow New Yorkers.
Dr. Mann lives minutes from the office. Patients undergoing treatment have his cell phone number and can always get in touch with any questions or concerns. It’s not unusual to see Dr. Mann arriving after hours to help a patient with an emergency.