Free Teeth Whitening Pen

Complimentary Teeth Whitening Pen with your next routine dental visit. Limited time offer!

Cosmetic Dentistry: Laser Gum Reshaping

For many people, cosmetic dentistry (NYC and beyond) will involve treating the teeth in some way – whether that be treating discoloration, adding veneers, bonding a broken tooth, or a little reshaping here and there. However, sometimes it’s the gums that are letting the smile down. This can lead to a loss of self-esteem and confidence, as well as overshadowing really great teeth!

Laser gum reshaping

There are a number of reasons why someone may have more gums on show. A commonly seen situation is where the patient has experienced an irregular tooth eruption. The tooth may have come through in the wrong place or at the wrong angle, causing the gum to be more prominent. Another common reason for a gummy smile is having a hyperactive lip. This is exactly what it sounds like: the lip rises higher than usual when the patient smiles.

Whatever the reason for overexposed gums, the good news is that this issue can be resolved quickly and easily. Professional dentists working in cosmetic dentistry (NYC has plenty of excellent professionals to choose from) can solve this issue by using a dental laser to non-invasively sculpt the gums for an amazing esthetic result.

How it works

Gum contouring is a common and simple procedure that is usually carried out by an experienced periodontist or professional skilled in cosmetic dentistry. NYC is home to some of the very best people working in this industry, so you can rest assured that you and your teeth will be in safe hands. 

Generally, the treatment uses local anesthetic to numb the affected area and you’ll be awake during the appointment. The dentist then uses a laser or sometimes a scalpel to remove and reshape the excess gum and expose more of the tooth. While the words “laser” and “scalpel” sound scary, there is no reason to worry. You won’t feel a thing and you should be in and out in a couple of hours maximum.

Does laser reshaping hurt?

No. In fact it is one of the simplest procedures in cosmetic dentistry. NYC dentists have many years of experience offering this service to their patients so they will know how to ensure maximum comfort for you. As mentioned before, a local anesthetic is used to numb the treated area, this means that you shouldn’t feel anything during your appointment.

However, it is normal to experience tenderness and numbness after the treatment. The amount of time it takes to feel completely recovered will depend on how extensive the reshaping has been. If you are feeling particularly tender, your dentist may prescribe pain relief to manage the symptoms.

What are the advantages of laser surgery?

When it comes to cosmetic dentistry, NYC professionals will tell you that there are quite a few benefits to opting for this kind of reshaping surgery. However, here are the top three reasons why you might prefer it over other options.

  1. Keeps your gums healthy
    Thanks to the accurate laser used during the procedure, any infected or damaged gum spotted by your dentist can easily be cut away. This means that the healthy tissue can thrive. But the real health benefit of reshaping is the way it can treat gum disease, an issue caused by a build-up of bacteria. Using a laser, the dentist can get into the periodontal pockets below the gum and clean every surface of the tooth. It’s really the most effective way to clean your pearly whites!
  2. It’s quick and easy
    Smile makeovers can be lengthy and exhausting. Laser reshaping, however, is a quick, single-appointment procedure that can transform a smile. After just a couple of hours, you can have your smile back to how you want it, with a confidence boost to boot.
  3. It’s non-invasive
    Last but not least, one of the great benefits of this treatment is that it’s pretty much pain-free. It feels a little like a routine clean, and saves the patient time as well. Patients will experience little to no swelling or bleeding, which means you can get back to normal life as soon as you leave the surgery.

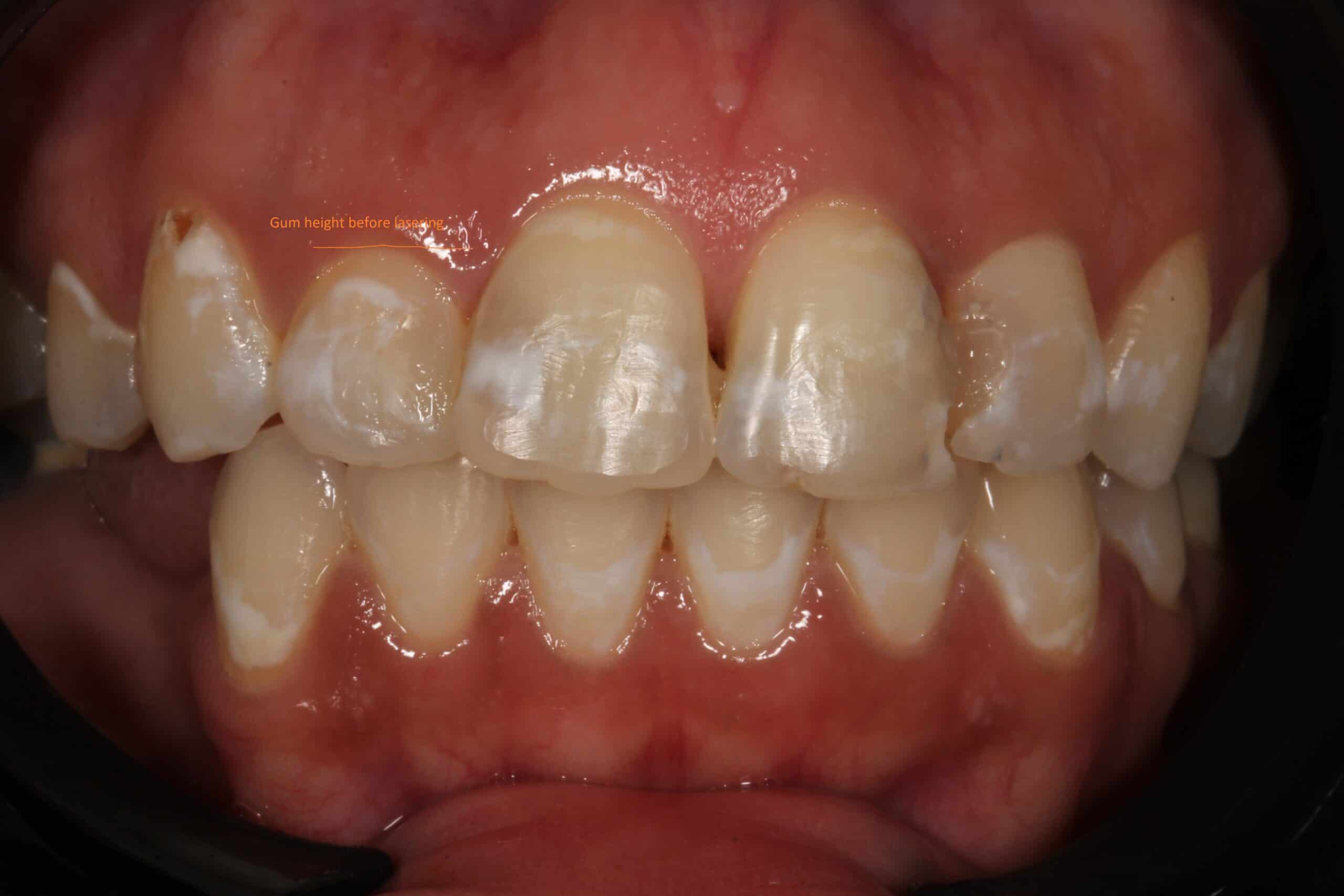
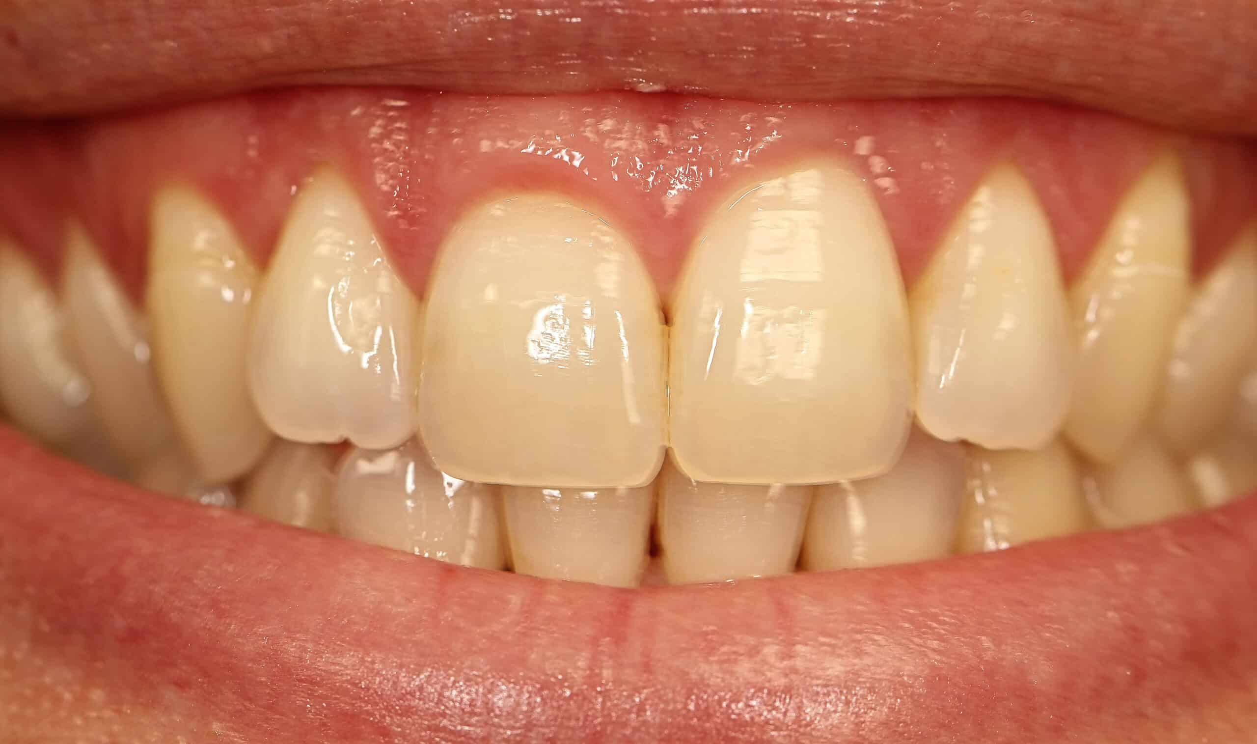
CASE STUDY
Our patient lived all of her adult life with an uneven smile because of extra gum tissue covering one of her front teeth. Using a diode dental laser, her issue was resolved in just a few minutes. The patient was lightly anesthetized for the procedure, during which excess gum was gently removed. 

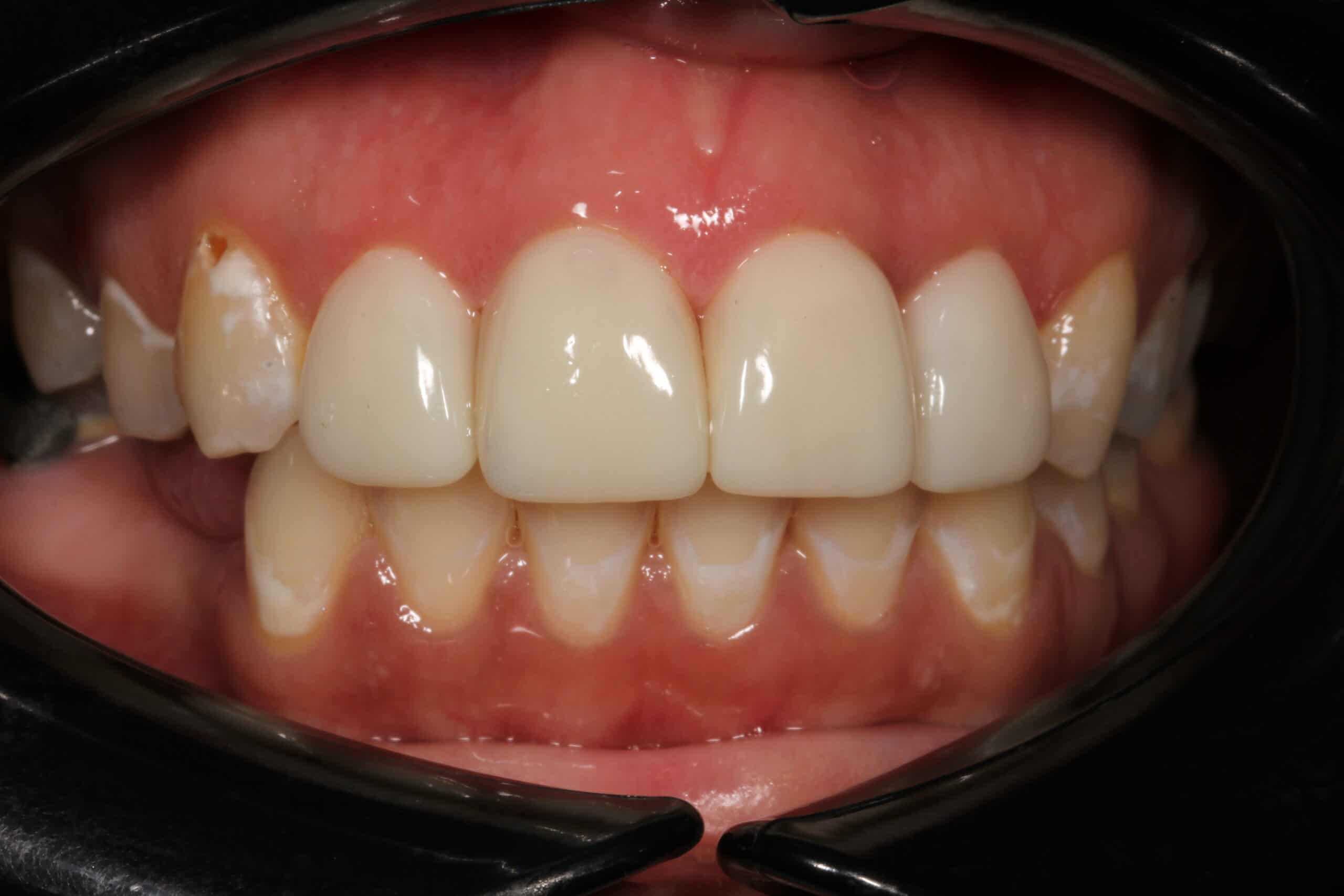
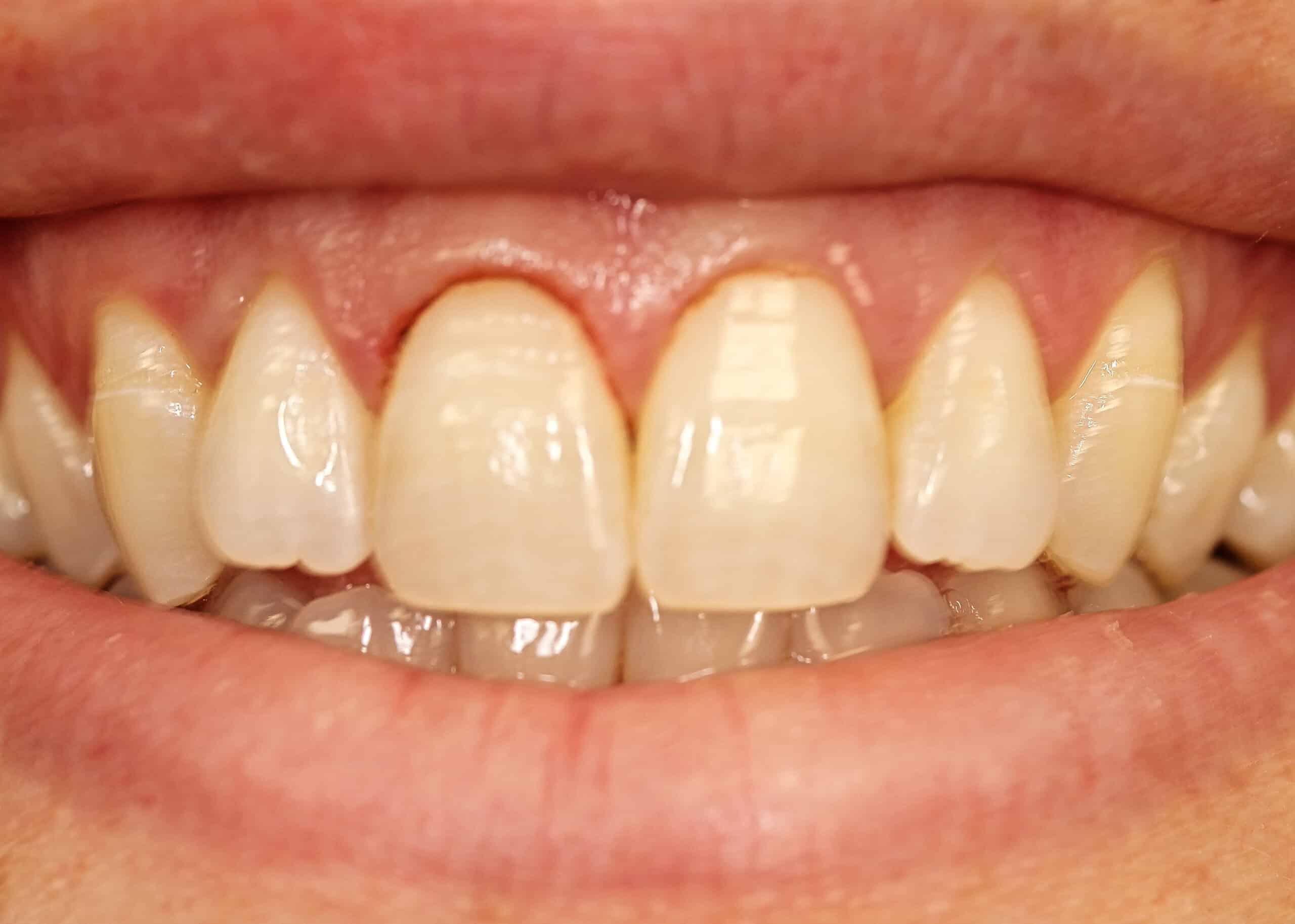
Gum shaping and Porcelain Veneer Treatment

Often when doing a smile makeover with veneers the gum shape needs to be improved as well. The patient had very low gum on one of her lateral incisors, so while rejuvenating her smile with veneers, we also made sure to laser off the excess tissue to bring harmony to her smile.

Post-Procedure Questions

Although laser gum treatment is a simple procedure, it’s completely normal to have questions. Here are a few of the most common queries from patients.

Do gums grow back after laser contouring?

No. Once you’ve undergone your surgery, your gums will not regrow and the results will be permanent – so there’s no need to have it done again in the future!

What should I expect after laser gum therapy?

As with many experiences in cosmetic dentistry, NYC dentists will have you know that recovery times and results will vary from patient to patient. Some people can leave the surgery and feel completely normal the following day.

What are the signs of complications?

Thanks to the heat of the laser used during the appointment, the treated area will be well sterilized throughout the surgery. That doesn’t mean bacterial infections are impossible, but they are rare. Signs of any infection include swelling, fever, growing pain, and pus. If you notice any of these, you should contact your dentist straight away as it must be treated as soon as possible.

How long does it take to recover?

Again, this will depend on the individual but generally, the recovery period for this cosmetic dentistry (NYC professionals state) is much shorter than other procedures. You should be back to normal in about a week.

Conclusion

At SmileArts of NY, we pride ourselves in offering services from some of the best cosmetic dentists in the city. With years of experience and expert knowledge, we can ensure that you feel safe and confident throughout your time with us. If you’re interested in hearing more about our cosmetic dentistry, NYC-based, in particular, give us a call to chat more or book an appointment to see whether gum reshaping is right for you.

Gum shaping and Porcelain Veneer Treatment

Often when doing a smile makeover with veneers the gum shape needs to be improved as well.  The patient pictured here had very low gum on one of her lateral incisors.  While rejuvenating her smile with veneers, we also made sure to laser off the excess gum tissue to bring harmony to her smile.