Patients who are interested in replacing missing teeth with dental implants, often ask; “what’s a better option mini-implants or traditional implants?” Truth is they can both work wonderfully, but one is not necessarily better than the other. At Smile Arts we believe in customizing patients’ treatment to their specific situation.
Mini-dental implants are thinner and often longer than traditional implants. This allows mini dental implants to be used in situations where the bone may be too thin for a traditional implant. A mini dental implant is also ideal when there’s not enough space between the roots of teeth to place wider traditional implants.
There are many advantages to mini dental implants. There is no cutting of the gums and no need to place any sutures. Also, there’s almost no drilling involved. Usually the dentist will use just one tiny drill, and the mini-dental implant does the rest of the work. Since very little bone was lost from drilling, the implant is strong from the time it’s placed. We can avoid waiting the usual 4-6 months as with traditional dental implants before placing a crown. Patients walk out of the office with a temporary crown the same day. The final crown can be ready just 2 weeks later.
Replacing a Lower Incisor with a Thin Dental Implant
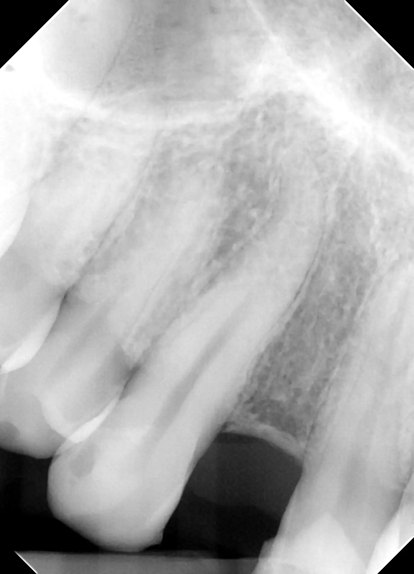
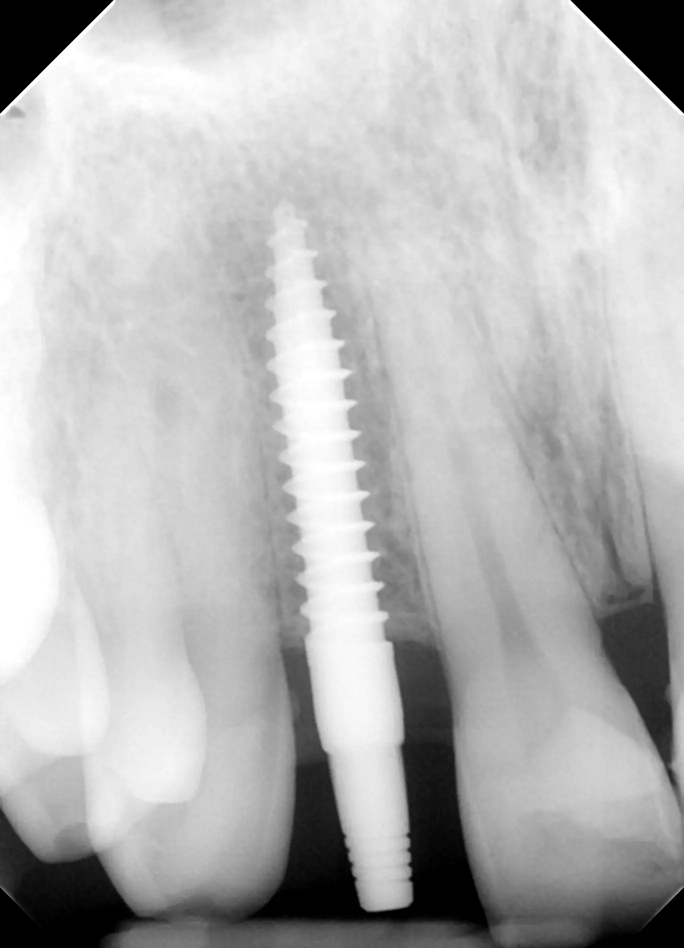
In August of 2011, a young cardiologist stopped by our office. One of his lower incisors was congenitally missing, it never grew in. He has gone for numerous consultations, every dentist has previously told him there was not enough room to place a dental implant. He was offered all sorts of options, such as a removable flipper, a bridge, he was even asked to extract another healthy tooth to make room for a conventional implant. He did not like any of those treatment options. He just wanted his missing tooth replaced without damaging any of his other teeth.
Dr. Mann placed a mini-dental implant without any sutures, no cutting of the gums, and with no discomfort. The entire appointment took less than 30 minutes and the patient left the office with a temporary tooth.
Two weeks after the implant was placed, the final crown was cemented. Now, our patient can once again smile with confidence. Mini-dental implant in this situation was the best way we could achieve such a beautiful result.
An x-ray taken three years later shows the healthy implant has integrated well with the bone around it. The implant looks stronger than ever and our patient is happy with the results.
A wonderful young lady who was missing one of her canine teeth came to our office. Since the bone was thin, previous dentists have advised that she needs to have a bone graft, then wait for 6 months before an implant can be placed and then wait another 6 months before it can be restored with a crown. The treatment would involve several surgical procedures, healing time, discomfort, and a total treatment time of at least a year.
Dr. Mann measured the bone and calculated that she would be a great candidate for a mini dental implant. The mini dental implant was placed and temporized with a crown. There were no sutures, the gums were not cut, and patient states she had no discomfort during or after the procedure.
Two weeks later a final crown was placed. Our patient can once again smile with confidence. The end result is a brand new implant with a crown in just 2 weeks. Our patient had minimal discomfort, avoided bone grafting, saved time and money by utilizing the mini dental implant technology.
At Smile Arts we believe in individualized dental treatment. Some situations require traditional implants, while in other circumstances a mini dental implants is the best option.
Narrow implant Placement to replace a front tooth
The patient had a “Maryland” bridge which would break or fall out every few years. Prior dentists told him he could not get a dental implant.
A 3D scan was taken to measure the bone. Although a bit limited in space for an implant, there was enough space to place an implant if done very precisely.
A narrow implant was Placed by Dr. Peter Mann.
Patient left the office with a temporary crown after his implant placement.
A few weeks later a porcelain crown was cemented to create a beautiful esthetic smile. The outcome in this case was tremendous.













