Exploring the Best Options for Replacing Missing Teeth
Missing teeth can be more than just a cosmetic concern; they can significantly affect your oral health, self-esteem, and overall quality of life. As many
Complimentary Teeth Whitening Pen with your next routine dental visit. Limited time offer!
A broken front tooth is a dental emergency that can be unnerving for a patient. Depending on the severity of a tooth fracture, dental bonding, a veneer or a porcelain crown is required to repair the tooth.
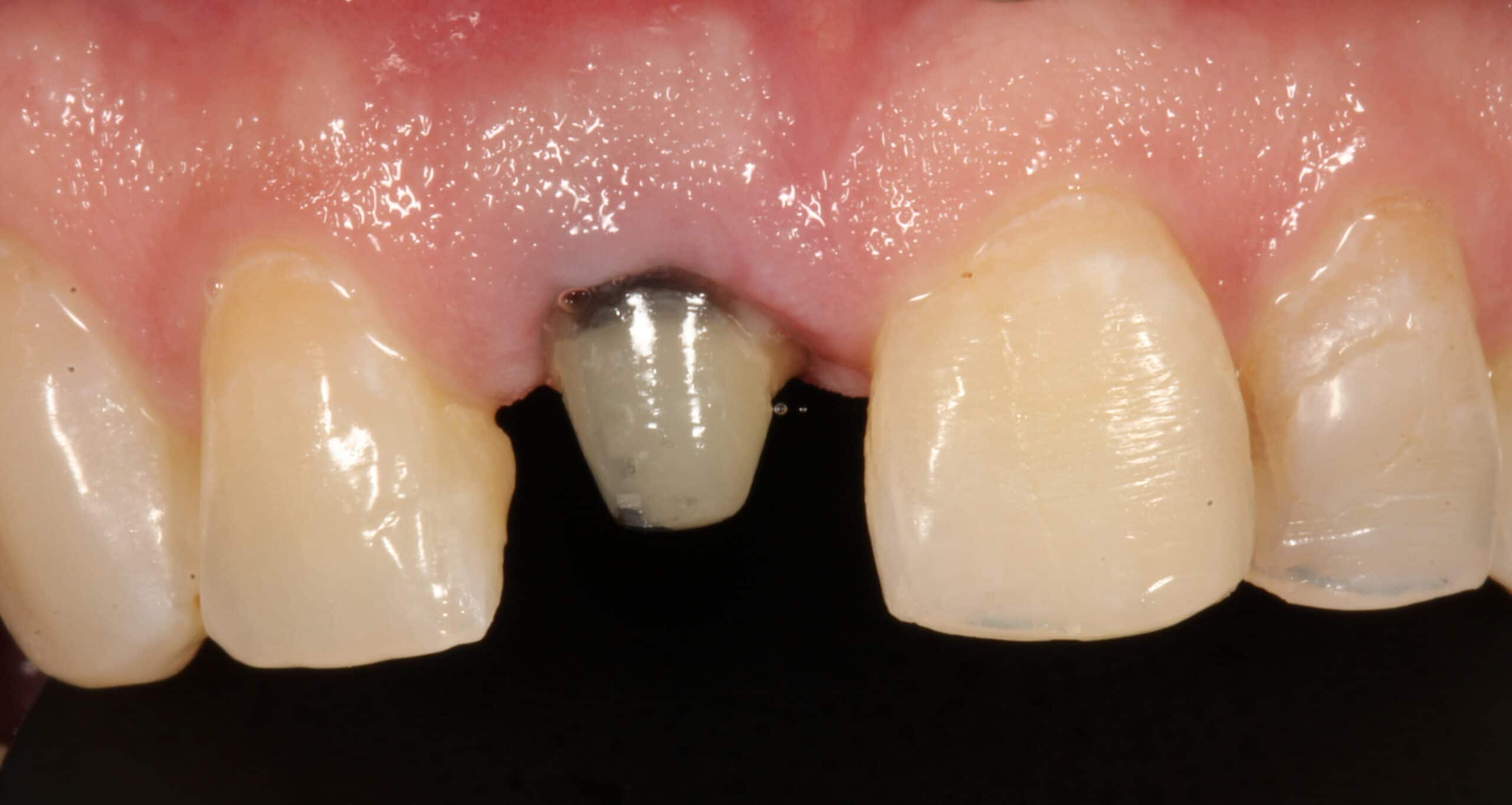
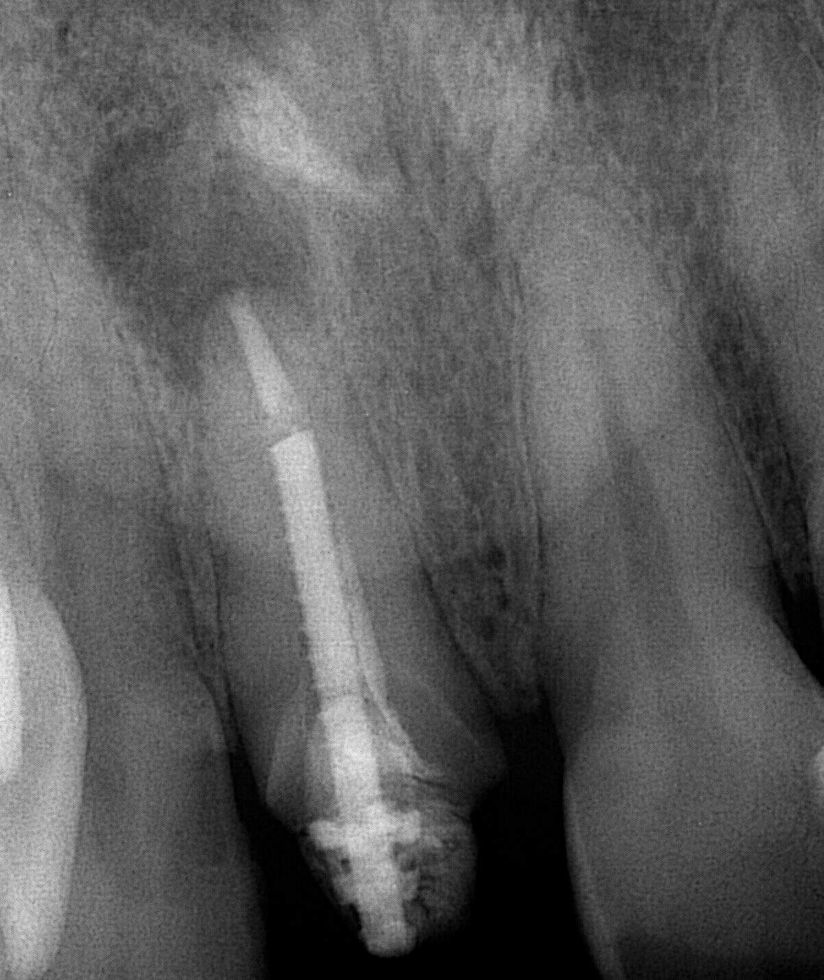
A 54 year old male patient came in for a dental emergency because his front tooth broke. An x-ray also revealed a large infection at the apex of the tooth.
A tooth with a root canal can be prone to breaking because it doesn’t have a blood supply. Over time a root canal tooth becomes brittle.
To Fix this tooth we first need to remove the infection. A root canal re-treat was performed by a root canal specialist (Endodontist)
Our patient returned after his tooth was disinfected by a root canal specialist (Endodontist.) Dr. Peter Mann then placed a Rescue post in the tooth which will help hold the crown.
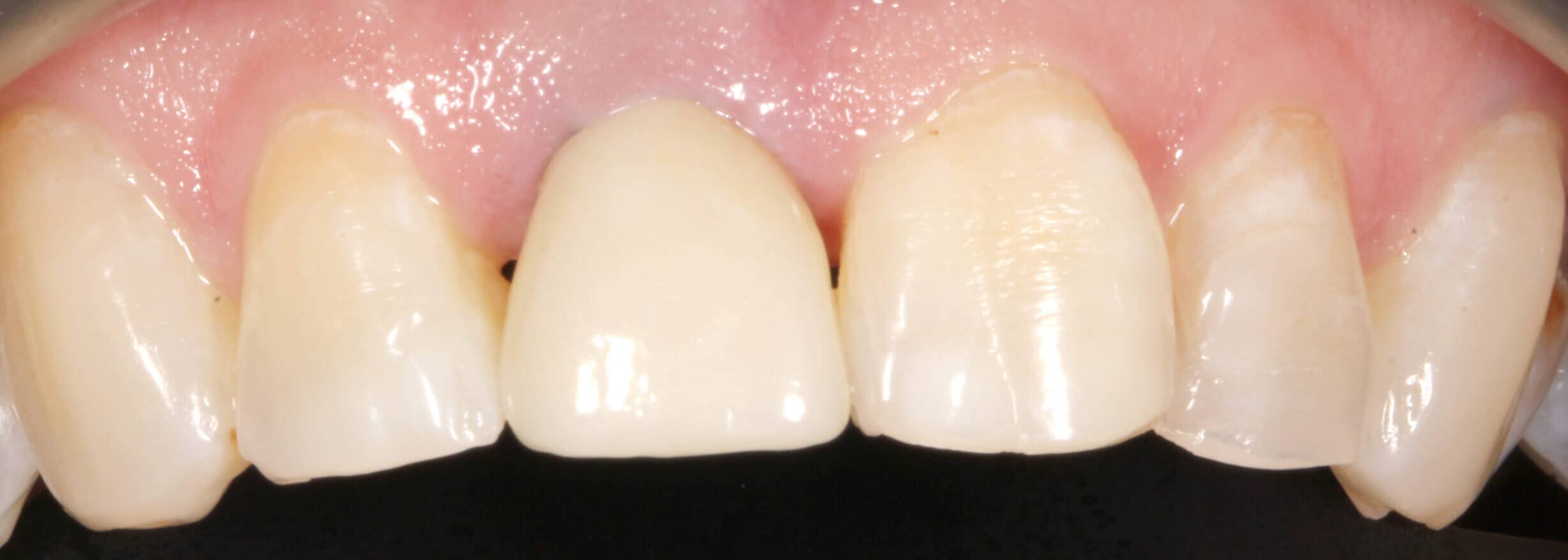
A digital impression was then taken with our Itero scanner for a porcelain crown. The patient left our office with a temporary crown held in place by the new post.
Porcelain crowns are custom crafted by a masterful technician. The work requires artistic talent and takes years to master.
Our master lab technician crafted a beautiful porcelain crown to cement on top of the patient’s root canal and rescue post. Once the crown was cemented it blended in with his natural teeth beautifully.
Missing teeth can be more than just a cosmetic concern; they can significantly affect your oral health, self-esteem, and overall quality of life. As many
Bad breath, or halitosis, is a common issue that affects people of all ages. While it can be embarrassing, understanding the root causes can help
One of the most promising applications of AI technology is in the field of dentistry, particularly in the analysis of dental X-rays.
Our teeth are one of the most important assets we have. The old adage, “you’ll miss them when they’re gone,” is never more true than
Oral care encompasses so much more than just your teeth; it is also centered on ensuring the health and longevity of your gums. It is
If you have particularly sensitive teeth, you may find yourself avoiding dental cleanings for fear of discomfort or pain. A feeling of sharpness or like your teeth might fall out are the types of pain typically felt by sufferers of tooth sensitivity.
Having completed NYU School of Dentistry and a General Residency program in Kings County hospital. Dr. Peter Mann has trained with some of the top world renowned dentists. Being recognized in 2009 with a fellowship award from the (ICOI) International Congress of Oral Implantology and in 2012 with a fellowship award from the (AGD) Academy of General Dentistry.
In 2009 Dr. Peter Mann decided it was time to achieve his vision by opening his dental office to provide outstanding dental services to NYC residents. Smile Arts of NY is located in the heart of Manhattan on E. 40th between Madison and Park ave.
Originally born in Ukraine, when iron curtain of communism collapsed his family took the opportunity to pursue the American dream by moving to New York. Dr. Peter Mann has lived in New York ever since, for over 33 years. His goal is to provide excellent dental experience for his fellow New Yorkers.
Dr. Mann lives minutes from the office. Patients undergoing treatment have his cell phone number and can always get in touch with any questions or concerns. It’s not unusual to see Dr. Mann arriving after hours to help a patient with an emergency.