Exploring the Best Options for Replacing Missing Teeth
Missing teeth can be more than just a cosmetic concern; they can significantly affect your oral health, self-esteem, and overall quality of life. As many
Complimentary Teeth Whitening Pen with your next routine dental visit. Limited time offer!
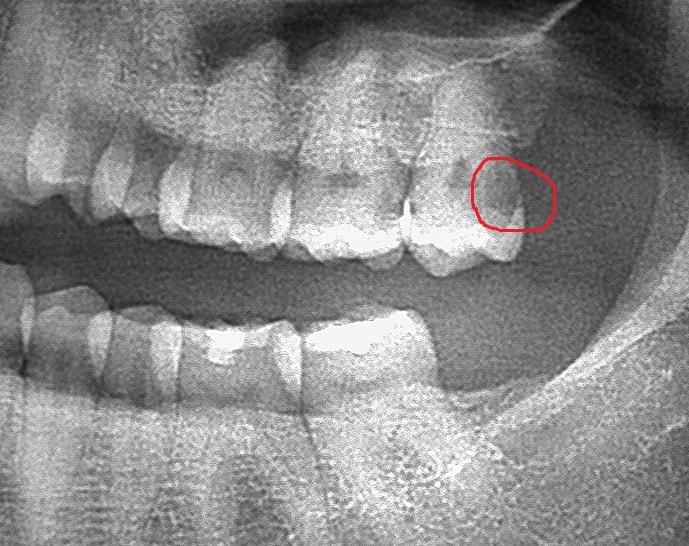
A common dental emergency frequently seen in dental offices is pain caused by a wisdom tooth. Very often gum infection around the wisdom tooth, called pericoronitis is the source for discomfort. Usually, this infection requires the removal of the offending wisdom tooth for the pain to be resolved.
Wisdom tooth infection, also called Pericoronitis, is the most common cause for wisdom tooth extractions. It’s very difficult to keep wisdom teeth clean because they’re often covered by gum tissue. Over time, the food particles that are not cleaned under the gum will become a source for bacterial growth. This infection will cause swelling and discomfort for the patient. The most effective treatment is wisdom tooth extraction.
Antibiotics often take several days (2-3 days) to be effective. Patients with wisdom tooth pain will usually benefit the most with wisdom tooth extraction combined with a course of antibiotics. When patients just take antibiotics without the removal of the infected wisdom tooth, the infection will usually return within a few months.
Wisdom teeth can be very hard to clean with a tooth brush. For that reason they can develop cavities. If the cavity grows to reach the nerve of the tooth, the patient will experience pain. It’s usually best to extract wisdom teeth with large cavities.
The actual tooth extraction is not painful most of the time. However, the patient will feel some pressure. Usually, wisdom tooth extraction in the lower jaw will cause more post-op discomfort than a wisdom tooth extraction in the upper jaw. That’s because the bone in the lower jaw is much denser compared to maxillary bone.
Extraction of wisdom teeth from the lower jaw can cause significant post-op pain/discomfort. Usually, this discomfort should improve every 6 hours. Taking Ibuprofen 600mg every 4-6 hours for pain is proven to be amongst the best tools for pain management. Ibuprofen is also an NSAID (non-steroidal anti-inflammatory) which helps with swelling as well. Some studies also show combining Acetaminophen 150mg in between taking Ibuprofen works extremely well for pain management.
Missing teeth can be more than just a cosmetic concern; they can significantly affect your oral health, self-esteem, and overall quality of life. As many
Bad breath, or halitosis, is a common issue that affects people of all ages. While it can be embarrassing, understanding the root causes can help
One of the most promising applications of AI technology is in the field of dentistry, particularly in the analysis of dental X-rays.
Our teeth are one of the most important assets we have. The old adage, “you’ll miss them when they’re gone,” is never more true than
Oral care encompasses so much more than just your teeth; it is also centered on ensuring the health and longevity of your gums. It is
If you have particularly sensitive teeth, you may find yourself avoiding dental cleanings for fear of discomfort or pain. A feeling of sharpness or like your teeth might fall out are the types of pain typically felt by sufferers of tooth sensitivity.